Periapical Lesion Repair – Case Report
Rosana Maria Coelho Travassos1, Leonardo
dos Santos Barroso 2, Gustavo Moreira de Almeida3, Cecília
Alves Leopoldino 4, Renata Wiertz Cordeiro5, Luca
Pasquini6, Larissa Roberta Farias do Prado7
Universidade de Pernambuco, Brazil, ORCID: 0000-0003-4148-1288
Centro Universitário de Volta Redonda-RJ (UNIFOA, Brazil, ORCID: 0000-0002-1273-5800
Faculdade do Instituto de Pesquisa e Ensino, Brazil, ORCID: 0000-0002-1404-099X
Faculdade do Instituto de Pesquisa e Ensino, Brazil, ORCID: 0009-0000-5632-6980
Faculdade São Leopoldo Mandic, Brazil, ORCID: 0009-0007-7664-4207
Faculdade São Leopoldo Mandic, Brazil, ORCID: 0009-0005-6009-6248
Universidade de Pernambuco, Brazil, ORCID: 0000-0001-6041-8853
Received: 8 June 2024
Revised: 15 June 2024
Accepted: 15 June 2024
Published: 15 June 2024
Keywords:
Endodontics, periapical diseases, root canal.
Palavras-chave:
Endodontia, doenças periapicais, tratamento do canal.
Corresponding author:
Rosana Maria Coelho Travassos.
Universidade de Pernambuco, Brazil.
rosana.travassos@upe.br ORCID: 0000-0003-4148-1288
doi: 10.5281/zenodo.11662625
ABSTRACT
| This study aims to describe the repair through a clinical case of a diffuse and extensive periapical lesion with suggestive diagnosis of chronic periapical abscess. Anamnesis and clinical examination were performed. Based on the correct indication for endodontic treatment, coronary opening and subsequent cervical preparation were performed with GattesGlidden drills, and K-Files type manual instruments were performed in the cervico-medial preparation. Subsequently, intracanal medication based on calcium hydroxide was introduced. After preparing the root canal, the patient underwent intracanal medication consisting of calcium hydroxide. The absence of the sensitivity referred to at the beginning of therapy was verified and, therefore, the canal system was filled with the active lateral condensation technique together with AH-Plus cement. It was verified by radiographic images during the treatment performed, that during the consultations there was a reduction in the diameter of the periapical lesion. This reduction was caused by the intracanal medication, which was renewed every month for a period of six months in order to disinfect the root canal and repair the periapical bone destruction. Therefore, the clinical and radiographic follow-up, after a period of six months of intracanal medication, found the repair of the periapical lesion. RESUMO Este estudo possui como objetivo a descrição do reparo através de um caso clínico de uma lesão periapical difusa e extensa com diagnóstico sugestivo de abscesso periapical crônico. Foram realizados a anamnese e exame clínico. A partir da correta indicação do tratamento endodôntico, foi realizada a abertura coronária e posterior preparo cervical com brocas GattesGlidden, e no preparo cervico-medial, os instrumentos manuais tipo K-Files. Posteriormente, introduziu-se a medicação intracanal à base de hidróxido de cálcio. Após o preparo do canal radicular, o paciente foi submetido a medicação intracanal constituida por hidróxido de cálcio. Constatada a ausência da sensibibilidade referida no início da terapêutica e portanto seguiu-se com a obturação do sistema de canais com a técnica de condensação lateral ativa juntamente com cimento AH-Plus. Foi averiguado por imagens radiográficas no tratamento realizado, que no decorrer das consultas houve uma redução no diâmetro da lesão periapical. Essa redução foi ocasionada por conta da medicação intracanal, que foi renovada a cada mês por um período de seis meses com a finalidade de desinfetar o canal radicular e causar reparação da destruição óssea periapical. Diante disso, a proservação clínica e radiográfica, após um período de seis meses de medicação intracanal, constatou o reparo da lesão periapical. |
INTRODUCTION / INTRODUÇÃO
A periodontite apical pode ser definida como um processo patológico, agudo ou crônico, que ocorre nos tecidos periapicais em decorrência de uma infecção no sistema de canais radiculares após a necrose do tecido pulpar. Embora haja fatores físicos e químicos nela envolvidos, os microrganismos são essenciais para a progressão e perpetuação do processo patológico. Essa persistência pode induzir a um processo inflamatório e resposta imune nos tecidos periapicais, resultando em destruição óssea local, afetando, assim, o processo de reparo tecidual (1).
O profissional precisa convencer-se de que o tratamento endodôntico não termina com a obturação do sistema de canais radiculares, visto que a longo prazo, a qualidade da reparação periapical deve ser almejada, uma vez que o tratamento endodôntico não se limita tecnicamente ao exclusivo preenchimento de um espaço preparado, mas também a um período de controle clínico-radiográfico pós-tratamento endodôntico. A determinação da qualidade do tratamento endodôntico é realizada através do exame clínico, o exame radiográfico e a análise histopatológica. O profissional dispõe como recursos o controle longitudinal, baseando-se unicamente nas características clínicas (sinais e sintomas) e nos aspectos radiográficos. Os resultados do tratamento dos canais radiculares têm sido avaliados em diversas pesquisas epidemiológicas, seja através de estudos transversais ou estudos longitudinais. O sucesso é dependente de diversos fatores pré-operatórios, assim como dos resultados do preparo e da obturação dos canais radiculares e por ocasionais contratempos no tratamento. Parece que os dentes tratados com polpas vitais têm melhor prognóstico do que aqueles com polpas necróticas (2). Para o correto acompanhamento da conduta terapêutica, é de fundamental importância o registro radiográfico inicial, aspecto imediato e aspecto final através desses registros.
Todavia, mesmo em canais que foram tratados adequadamente, em algumas situações, ainda é possível observar a presença de infecção, que pode ocorrer devido a microrganismos levados ao sistema de canais radiculares por falha do operador ou pela manutenção desses agentes patológicos no interior do canal, causando, assim, uma infecção secundária/persistente. Eventualmente, estes microrganismos provenientes dos tecidos necróticos do sistema de canais radiculares e regiões periapicais podem formar um biofilme localizados na parte extrarradicular, configurando uma inflamação e destruição óssea periapical decorrentes da interação entre uma microbiota resistente e resposta imune.
O presente caso aborda a terapêutica de uma lesão periapical crônica através do tratamento endodôntico convencional não cirúrgico associado a medicação intracanal a base de hidróxido de cálcio. A partir do acompanhamento clínico e radiográfico, constatou-se a remissão da lesão e a efetividade do tratamento no sucesso terapêutico.
O presente artigo trata-se de um relato de caso clínico, descritivo e qualitativo, em que se observa o tratamento conservador de uma lesão periapical extensa asséptica. Quanto aos termos éticos, o paciente assinou o Termo de consentimento Livre e Esclarecido e foram respeitados os princípios éticos descritos na Declaração de Helsinque.
CASE / CASO
Paciente A.A.G.L., leucoderma, sexo masculino, 55 anos, foi encaminhada para a Clínica de Atenção Básica III da Faculdade de Odontologia de Pernambuco, em Camaragibe, PE, Brasil, para avaliação da necessidade de tratamento endodôntico no dente 12. Na anamnese, não foi relatado qualquer alteração de saúde sistêmica. No exame físico foi verificada ausência de edema e presença de fístula inativa (Figura 1), sem mobilidade, não respondeu ao teste de sensibilidade pulpar, nem à percussão vertical e horizontal.

Figura 1. Radiofrafia inicial comprovando lesão periapical
A partir da radiografia inicial foi observadas extensa radiotransparência periapical bem como, uma área radiopaca na coroa sugestiva de restauração sem invasão da câmara pulpar. O diagnóstico sugestivo foi de abscesso periapical crônico, sendo, assim, indicado o tratamento endodôntico não cirúrgico com a finalidade de obter o reparo da destruição óssea periapical.
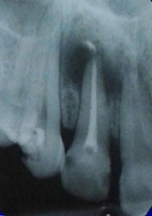
Após os procedimentos de antissepsia foi realizada anestesia do nervo alveolar superior, seguido de isolamento absoluto e remoção do tecido cariado com broca esférica nº 2 (KGSorensen, Cotia-SP, Brasil) em alta-rotação, posteriormente foi realizada a abertura coronária seguida de irrigação com solução de NaOCL a 2,5% e a exploração do canal com instrumento tipo K # 15 (Dentsply-Meillefer). O preparo coroa-ápice sem pressão: preparo cervical com as brocas Gattes Glidden em ordem decrescente de números 5, 4 e 3 irrigando com solução de NaOCL a 2%. O preparo cervico-medial com instrumentos manuais tipo K-Files (Dentsply-Meillefer®), em ordem decrescente: 2ª Série, # 80/#70/#60/#55/#50, a cada troca de instrumento realizou-se irrigação abundante com solução de NaOCL a 2%. Ao atingir o comprimento de 2mm aquém do ápice radicular, realizou-se a odontometria para a determinação do Comprimento Real de Trabalho e Comprimento Real do Dente (Figura 2).

Figura 2. Odontometria para a determinação do Comprimento Real de Trabalho.
O término do preparo apical foi feito até a lima de número 60 K-File, posteriormente, foi introduzido EDTA por 3 minutos e a irrigação final foi realizada com hipoclorito de sódio a 2,5%. Após secagem do canal com pontas de papel absorvente, foi colocada medicação intracanal à base de hidróxido de cálcio (UltraCal® XS) e selamento provisório com cimento de ionômero de vidro (Vitro Fil – DFL®).
A medicação intracanal foi renovada mensalmente por um período de 3 meses, com o objetivo de determinar a regressão da lesão periapical. Constatando ausência de desconforto, a obturação do sistema de canais, com cimento endodôntico AH Plus (Dentsply) juntamente com a técnica de condensação lateral, a restauração definitiva e em seguida foi realizada do elemento dentário foi realizada com Resina Composta (Opallis- FGM). (Figura 3). Observa-se também nessa radiografia a presença da pasta de Hodróxido de cálcio extravasada , o que determinou a regressão da lesão peripical mais rápida.
Na consulta de proservação, após seis meses da obturação do canal radicular, foi realizado o exame clínico e radiográfico, demonstrando o reparo da lesão periapical (Figura 4).

Figura 3. Obturação do sistem de canais radiculares.

Figura 4. Regressão da lesão periapical.
Observa-se nessa radiografia a formação completa do osso medular com o reparo bem sucedido. Nota também que houve a necessidade da terapia endodôntica do dente 11 devido a mortificação pulpar. Esse tratamento foi realizado em duas sessões, uma vez que a lesão periapical não era extensa como no dente 12.
DISCUSSION / DISCUSSÃO
Uma infecção pulpar de longa duração permite que bactérias se propaguem para todo o sistema decanais radiculares, além da luz do canal radicular e túbulos dentinários, os canais laterais, secundários eacessórios; delta apical; lacunas formadas pelas reabsorções cementárias protegidas pelo biofilmebacteriano e a região periapical. Essas informações, enfatizam a necessidade de eliminação bacteriana dosistema de canais, que não é conseguida nos casos de dentes com lesão periapical de longa duração,apenas com o preparo biomecânico, pois seria impossível erradicar toda a infecção sem o auxíliocomplementar de uma medicação tópica entre as sessões (3,4)
A persistência de infecção pós-tratamento endodôntico primário ocorre com uma frequência comum. Na presença de lesões extensas, pode gerar grandes reabsorções ósseas e serem acompanhadas de sinais e/ou sintomas. Existe um grau de contaminação maior no interior do canal radicular, mas a região perirradicular também pode ser acometida por esses microrganismos. Quando não se obtém uma diminuição favorável da carga microbiana na região do canal e periapical, deve-se intervir novamente, através do retratamento endodôntico, com vistas ao completo reparo ósseo (5).
O tratamento deve seguir um protocolo clínico adequado de descontaminação, em prol da cura dos sinais e sintomas do paciente, com regressão das lesões periapicais (6). Para sanar o processo infeccioso associado ao canal radicular e a região periapical, faz-se necessário reduzir ao máximo a microbiota bacteriana nesses locais. Assim, é preconizada a utilização de uma solução irrigadora potente e com propriedades antimicrobianas. O hipoclorito de sódio é recomendado como irrigante principal, uma vez que possui um amplo espectro de ação e capacidade de dissolução tecidual. Somado às essas propriedades favoráveis, a ativação da solução irrigadora potencializa o processo de descontaminação do sistema de canais radiculares. Aliado ao protocolo de irrigação, utilizou-se também a medicação intracanal Ultracal com renovação mensal por um período de 3 meses . Esta medicação apresenta ótimas propriedades biológicas, de biocompatibilidade e bioatividade, permitindo a reparação de tecido conjuntivo e induzindo a reparação óssea. A utilização de hidróxido de cálcio como medicação em casos de dentes com lesão periapical demonstra vantagens em função da atuação antimicrobiana no sistema de canais radiculares complementado, assim, a ação do preparo biomecânico e possibilitando a devida reparação dos tecidos periapicais, obtendo a ação sobre microrganismos remanescentes. Ademais, esse medicamento intracanal apresenta propriedades biológicas como biocompatibilidade e inativação da endotoxina bacteriana (7). Nesse caso, devido ao tamanho da lesão, preferiu-se realizar renovação mensal da medicação intracanal por um período de 3 meses.
A obturação adequada do canal, tem um impacto profundo na eficácia da terapia endodôntica. Essa obturação deve ser realizada de forma precisa, de modo a vedar hermeticamente o canal radicular, impedindo a entrada de microrganismos. No entanto, sua importância vai além disso. Uma obturação adequada também é capaz de promover um ambiente propício para o reparo tecidual na região periapical, permitindo que os tecidos se restaurem naturalmente e evitando a recorrência de infecções (8).
CC BY Licence
This is an open access article under the CC BY license (http://creativecommons.org/licenses/by/4.0/).
REFERENCES / REFERÊNCIAS
- Oliveira NG, Carvalho MV, Travassos RMC. Regressão de lesão periapical extensa: relato de caso clínico. Rev Odontol Univ Cid São Paulo. 2018;30(2):210-215.
- Travassos R, Negreiros Jhony, Teixeira J, Lyra M. Tratamento endodôntico conservador em lesão periapical extensa asséptica: Relatode caso. Research, Society and Development. 2021;10(5):e33710514982.
- Carneiro M, Costa F, Chicora P, Endo M, Veltrini V. Abordagem endodôntica não cirúrgica em extensa lesão periapical: relato de caso. Archives of Health Investigation. 2020;9:513-516. doi: 10.21270/archi.v9i6.4816.
- Travassos R, Cardoso M, Lima J, et al. Reparo de lesão de incisivo central inferior com dois canais – Relato de caso. Recisatec – Revista Científica Saúde e Tecnologia. 2022;2(7):1-10. doi: 10.53612/recisatec.v2i7.154.
- Bronzato JD, Davidian MES, Castro M, et al. Bactérias e fatores de virulência em lesões periapicais associadas a dentes após tratamento de canal primário e secundário. Int Endod J. 2021;54(5):660–671.
- Regezi JA, Sciubba JJ. Cistos da boca – Cistos periapicais. In: Patologia bucal: correlações clínicopatológicas. 3ª ed. Rio de Janeiro: Guanabara Koogan, 2000; 260-262
- Matos G, Filho MT. Resolução por retratamento não cirúrgico de dente com lesão periapical: relato de caso clínico. Full Dentistry in Science. 2011;2(7):299-302
- Travassos R, Melo Junior P, Cardoso M, et al. Retratamento endodôntico com Prodesign Logic RT. Brazilian Journal of Implantology and Health Sciences. 2023;5(4):2393-2408.



